歯の健康を守るため、定期的な「歯科ドック」を

「歯科ドック」とは”人間ドック”と同じで、様々な角度からお口の健康状態を確認するものです。当院が行う歯科ドック(5500円)では、現状の問題の確認の他、これから問題が生じる可能性があるところまでも把握し、患者さんに現状をお伝えします。検査内容について、具体的にご紹介します。
「口腔内精密検査」項目
唾液検査(デントカルト)

唾液を検査することで、虫歯や歯周病になりやすいかどうかがわかります。検査結果をもとに、患者さんひとりひとりに合わせた治療プランを作成します。
当院の唾液検査は、「デントカルト」という検査キットを利用しています。WHO(世界保健機関)の疫学検査にも使われている、信頼性の高い唾液検査です。
口臭検査(オーラルクロマ)

口臭の主な原因は、歯周病菌が放出するガスです。口臭を検査することで、原因菌などを特定する手掛かりになります。当院は、「オーラルクロマ」という口臭測定器を使って検査をします。さまざまな口臭測定器がありますが、この中でもオーラルクロマは検査精度の高さに定評があります。
位相差顕微鏡による細菌検査

「位相差顕微鏡」という特殊な顕微鏡を使って、細菌検査を行います。一般的な顕微鏡と異なり、生きたままの細菌を観察できるので、より詳しい情報が得られ、細菌の種類を特定するのに役立ちます。
歯周病菌DNA検査

少量の唾液をお預かりして、中に含まれる歯周病原因菌の有無をDNA検査で測定します。検査結果から、患者さんおひとりおひとりに合わせた対策をレポートにしてお渡しします(検査結果レポートのお渡しに、約1ヶ月かかります)。
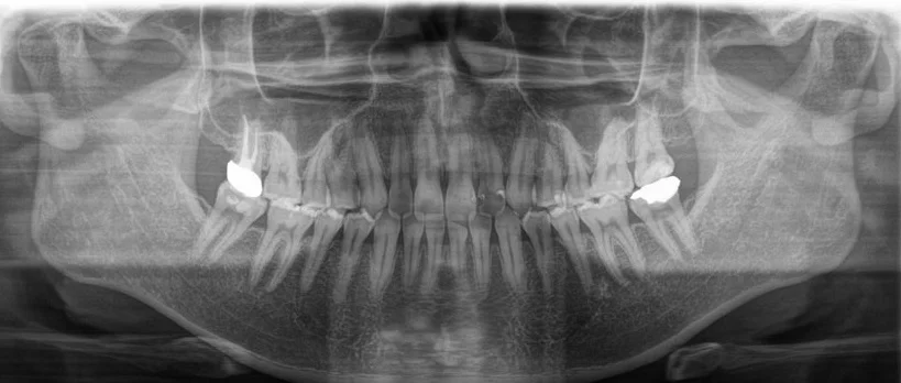
精密レントゲン

虫歯、歯髄、骨が溶けているかどうか、詰め物が適切な状態か、等について1歯ずつ評価を行っていきます。
歯周病精密検査(168か所)

1歯について、6か所ずつ、丁寧に「歯周病」についてチェックしていきます。
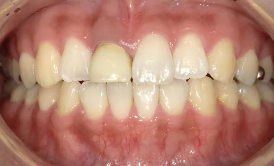
口腔内写真(5枚~)

さまざまな角度から「歯の状態」を撮影します。これにより、磨き残し、噛み合わせ、歯並び、見た目、虫歯などを丁寧にチェックしていきます。
模型検査

「歯ぎしり」や「歯並び」等の検査を行います。
噛み合わせ検査

いまの患者さんの「噛み合わせ」について記録します。その上で、将来の「問題となる箇所」の検査を行います。
CT検査

CTで撮影することで、立体的な画像で確認することが可能です。レントゲンでは見つけられなかった問題箇所も発見できることもあります。






